Tedavi edilmezse ölümcül olan HPDL eksikliği için umut ışığı doğdu
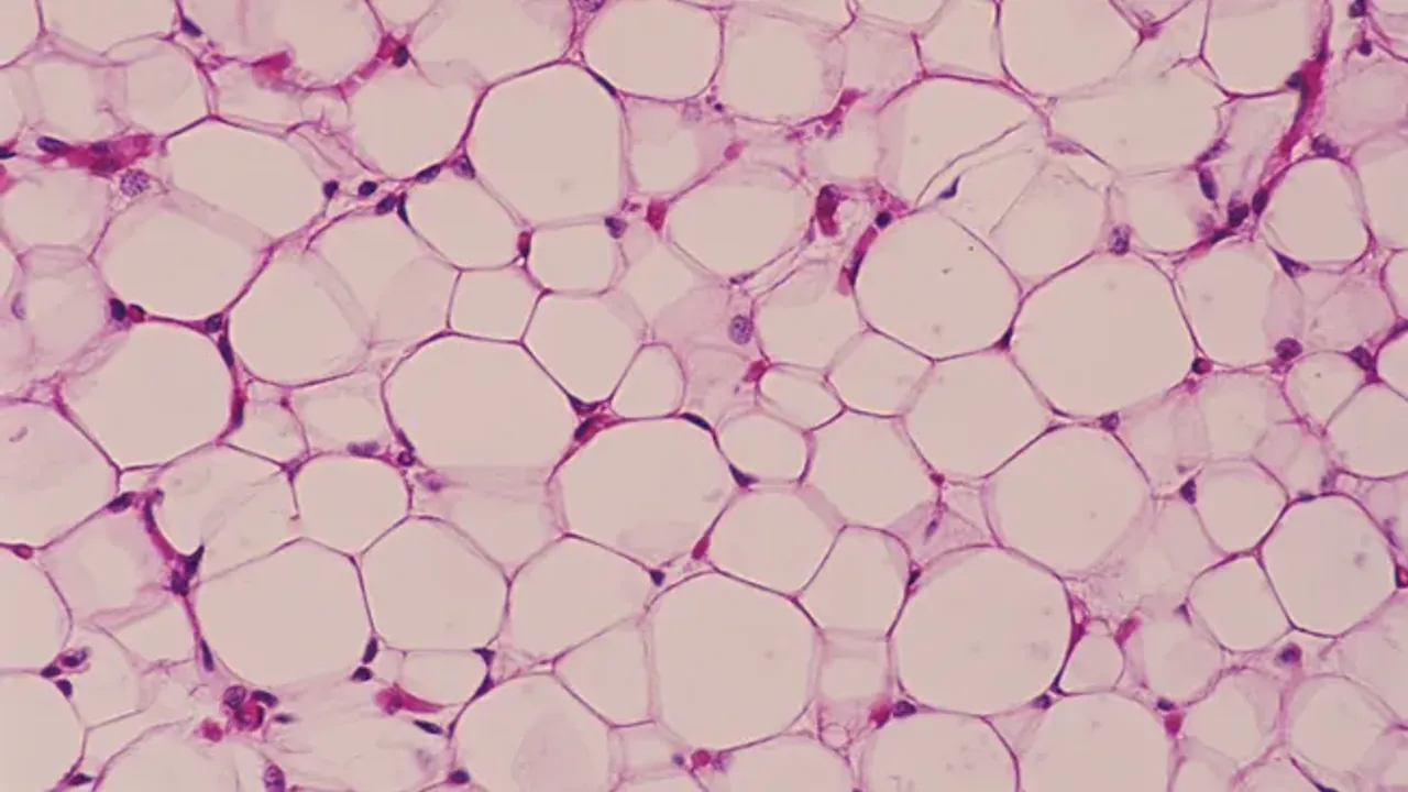
ABD’de NYU Langone Health uzmanları, genetik bir bozukluk nedeniyle birkaç ay içinde yürüme yetisini kaybeden 8 yaşındaki bir çocuğu, daha önce insanlar üzerinde hiç denenmemiş deneysel bir tedaviyle sağlığına kavuşturdu. Bilim insanları, farklı işlevlere sahip yağ hücreleri tanımladı
İsrail’deki Negev Ben-Gurion Üniversitesi’nden bilim insanları, insan vücudundaki yağ dokularında daha önce bilinmeyen yağ hücresi alt tiplerini keşfetti. Bu buluş, viseral yağın (iç organlara yakın karın içi yağ) sağlık riskleriyle neden bu kadar güçlü şekilde ilişkili olduğunu açıklamaya yardımcı olabilir.
Nature Genetics dergisinde 24 Ocak'ta yayımlanan çalışmada, obezite kaynaklı iltihap ve insülin direncini tetikleyebilecek farklı hücre alt türleri tanımlandı. Yeni bulgular, obeziteyle ilişkili hastalıkların tedavisinde hedefli müdahalelerin yolunu açabilir.
Çalışmada kullanılan ileri düzey genetik analiz yöntemi snRNA-seq sayesinde, 15 kişinin karın ve deri altı bölgelerinden alınan yağ örnekleri analiz edildi. Yağ hücrelerinin çoğunun klasik enerji depolayan hücreler olduğu gözlemlenirken, az sayıda hücrenin farklı işlevlere sahip olduğu görüldü.
Bu hücreler arasında:
Anjiyogenik adipositler: Yeni kan damarı oluşumuna katkıda bulunur.
Bağışıklıkla ilişkili adipositler: Bağışıklık sistemine dair proteinler üretir.
Hücre dışı matris adipositler: Hücre yapısını destekleyen proteinler içerir.
Hem deri altı hem de viseral yağ dokusunda bulunan bu hücre tiplerinin, özellikle viseral yağda daha yüksek oranda yer alması dikkat çekti. Bu durum, iç organ yağıyla ilintili sağlık sorunlarının nedenini daha iyi anlamamıza yardımcı olabilir.
Ayrıca,daha yüksek insülin direncine sahip bireylerin viseral yağında bu alışılmadık hücrelerin daha yoğun bulunduğu görüldü. Ancak bu hücrelerin insülin direncine neden olup olmadığını kanıtlamak için daha fazla araştırmaya ihtiyaç var.
Araştırmanın başyazarı Prof. Dr. Esti Yeger-Lotem, “Bu hücrelerin tespit edilmesi, obeziteye dair yeni tedavi stratejilerinin önünü açabilir. Özellikle iltihaplanma süreçlerine karşı elimizde yeni hedefler olabilir,” dedi.
Uzmanlar, bu buluşun küçük örneklemle elde edildiğini ve bulguların ileri düzey klinik araştırmalarla desteklenmesi gerektiğini vurgulasa da, yağ hücrelerinin çeşitliliği konusunda önemli bir adım atıldığına dikkat çekiyor.
Ağustos 2023’te sağlıklı şekilde futbol oynayabilen çocuk, sadece birkaç ay içinde tekerlekli sandalye kullanmak zorunda kaldı. Genetik testler, HPDL genindeki mutasyonun bu duruma neden olduğunu ortaya koydu. Bu gen, hücrelerde enerji üretimi için kritik olan CoQ10 adlı antioksidanın oluşmasında görev alıyor.
HPDL eksiklikleri oldukça nadir görülüyor ve çoğu zaman ölümcül seyrediyor. Ailenin iki diğer çocuğu daha önce benzer nedenle bebekken hayatını kaybetmişti.
NYU çocuk nöroloğu Dr. Claire Miller ve ekibi, FDA izniyle deneysel tedavi sürecini başlattı. Tedavi, CoQ10 üretimini destekleyen moleküller içeriyor. Bu tedavi sayesinde çocuk birkaç hafta içinde 1 kilometreden fazla yürüyebildi ve bugün 6 kilometrelik yürüyüşlere katılabiliyor.
Bu tedavi, NYU Grossman Tıp Fakültesi’nden Dr. Michael Pacold’un laboratuvarında geliştirildi. Fareler üzerinde yapılan deneylerde 4-HMA ve 4-HB bileşenlerinin HPDL eksikliğini bypass ederek beyin ve kas fonksiyonlarını iyileştirdiği gözlemlendi.
CoQ10 takviyesi ağızdan alındığında beyine ulaşmadığı için etkisiz kalıyor. Yeni moleküller ise bu bariyeri aşarak merkezi sinir sisteminde etki gösterebiliyor.
Aile, deneysel tedavinin çocuklarına ikinci bir yaşam şansı sunduğunu belirtti. Şimdilik çocuk tedaviye günlük olarak ağızdan devam ediyor ve hiçbir yan etki gözlemlenmedi.
Bilim insanları bu tedavi yöntemini önce aynı genetik bozukluğa sahip diğer hastalarda, ardından benzer mitokondri hastalıkları olan daha geniş bir grupta denemeyi planlıyor. Araştırmanın detayları, Nature dergisinde 9 Temmuz’da yayımlandı.




